Les raisons de s'intéresser aux
mitochondries sont innombrables. Cela peut être pour comprendre l'adaptation
des premières formes de vie à la respiration de l'oxygène
à partir de 3,5 milliards d'années (quand la vie avait moins
de 400 millions d'années et pas plus d'un milliard d'années
après la formation de la Terre et du système solaire). On
peut y voir aussi un exemple particulièrement important de symbiose,
montrant son universalité (bien plus que la compétition dont on nous rabat les oreilles)
au-delà des champignons ou de l'incroyable danse des insectes avec
les fleurs culminant avec les orchidées. De façon beaucoup plus concrète, il est important
de mesurer le rôle des mitochondries dans la production d'énergie
du corps et le vieillissement ainsi que le rôle de la chaleur (d'actualité!)
et du
NO
(dont le niveau est augmenté par de nombreuses panacées et
par le Viagra) dans la régulation de cette production d'énergie.
Enfin il est très instructif de constater comme la prise en charge
par les mitochondries des flux énergétiques a pu libérer
la créativité des formes de la vie.

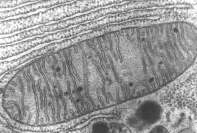
Les mitochondries sont des petites bactéries sans noyau (procaryotes)
présentes en plus ou moins grand nombre dans la plupart des cellules
à noyau (eucaryotes) qui comportent aussi d'autres
organites
: ribosomes (producteurs de protéines), lysosomes et peroxysomes
(enzymes digestives), appareils de Golgi (stockage des protéines).
Les ribosomes constitués d'ARN, produisent les enzymes digestives
qui passent dans les appareils de Golgi où elles sont emballées
dans des petits sacs qui les empêchent de se répandre dans le
cytoplasme (et de le digérer!), formant les lysosomes dont la fonction
est de décomposer les grosses molécules en petites.
Une cellule
vivante n'est pas figée mais agitée par un mouvement perpétuel
constituant son
métabolisme vital caractérisé
par une destruction permanente de molécules (catabolisme) et la construction
de nouvelles molécules (anabolisme). L'homéostasie est un équilibre
dynamique dont les fluctuations et les cycles (cyclose du cytoplasme) assurent
reproduction et adaptation par des corrections incessantes et non par un ordre
mécanique et rigide. La vie ne peut donc être réduite
à ses éléments puisqu'elle consiste en leur organisation
et leur dynamique. C'est l'animation de ses constituants qui caractérise
le vivant et l'apparente aux phénomènes thermodynamiques comme
les structures dissipatives de Prigogine, ce qui nécessite un flux
constant d'énergie. Le catabolisme (mitochondries et lysosomes) fournit
l'énergie nécessaire pour l'anabolisme. Les mitochondries, qui
ont leur propre ADN, produisent l'essentiel de l'énergie (ATP) des
cellules eucaryotes par oxydation des acides gras, processus bien plus efficace
que celui de la glycolyse (plus primitif et n'utilisant pas l'oxygène).
On vient de s'apercevoir que pour cloner une souris par exemple, on ne pouvait
se contenter de cloner l'ADN des chromosomes du noyau mais qu'il fallait
aussi cloner son ADN mitochondrial, la communication entre l'ADN du noyau
et celui des mitochondries n'étant pas encore élucidé
(
Le Monde 06/09/03).

Les substances nutritives -acides aminés,
acides gras et glucose- sont d'abord transformées en Acétyl
coenzyme A, qui subit lui-même une oxydation en présence de
l'oxygène amenée par le système sanguin. Cette oxydation
(en fait, une déshydrogénation) est appelée "cycle de
Krebs" ; les molécules des substances oxydées libèrent
des atomes d'hydrogène, électrons chargés négativement.
Ces électrons sont alors projetés dans les "chaînes de
la respiration", sortes de chapelets de molécules disposées
sur la membrane interne des mitochondries (une mitochondrie contient jusqu'à
quinze mille de ces chaînes). Passant de molécule en molécule,
les électrons transmettent leur énergie aux molécules
d'une substance acceptrice, l'ADP (adénosine diphosphate), créant
des molécules d'ATP (adénosine triphosphate). Cet ATP sera
le véritable combustible fournissant l'énergie à la
cellule. L'ATP non consommé immédiatement est stocké
sous forme de graisse. L'intensité du flux d'électrons dépend,
lui, de l'activité de l'organisme. Quand l'apport d'oxygène
est insuffisant à fournir l'énergie nécessaire au travail
des cellules, le surplus d'ATP est obtenu non plus par le cycle de Krebs,
mais par la glycolyse ou désintégration directe des molécules
de glucose. Il se produit alors de l'acide lactique (en fait c'est un peu
plus compliqué puisque la glycolyse précède un court
instant la respiration mitochondriale et reprend quand celle-ci s'effondre).
La cellule symbiotique
On respire par les mitochondries. Les cellules eucaryotes dépendent
des mitochondries pour leur métabolisme oxydatif. Sans mitochondries,
les cellules des animaux et des champignons seraient des organismes anaérobies.
Il semble donc probable que les cellules eucaryotes sont les descendantes
d'organismes primitifs anaérobies qui ont survécu dans un
monde devenu riche en oxygène par intégration de bactéries
aérobies les maintenant en symbiose par égard pour leur capacité
de consommer l'oxygène atmosphérique et de produire de l'énergie.
La fonction énergétique a été "confiée" aux mitochondries dans
les cellules eucaryotes. Il semble vraisemblable que la séparation des fonctions
laissa la membrane plasmique des eucaryotes libre de développer de nouvelles
caractéristiques importantes. En particulier, les cellules eucaryotes n'ayant
pas besoin de maintenir un fort gradient H+ à travers leur membrane plasmique,
comme le nécessite la production d'ATP chez les procaryotes, il devint possible
d'utiliser des modifications contrôlées de la perméabilité ionique de la
membrane plasmique dans un but de signalisation cellulaire. Ainsi, lors de
l'apparition des eucaryotes, un assortiment de canaux ioniques apparut dans
la membrane plasmique. Actuellement, ces canaux sont les médiateurs, dans
les organismes supérieurs, de processus de signalisation électrique élaborés
- notamment dans le système nerveux - et ils contrôlent une bonne partie
du comportement d'eucaryotes unicellulaires indépendants, tels que les protozoaires.
Responsables de la respiration, les mitochondries sont en grande partie responsables
du stress oxydatif étudié par Henri Laborit sur les plongeurs
sous-marins, qui savent bien que l'oxygène reste un poison
irritant pour des cellules qui nous viennent d'un temps où l'oxygène
n'existait pas encore. On insiste avec raison de plus en plus sur la nécessité
de prendre des anti-oxydants (qu'on trouve dans les fruits et légumes)
pour être en bonne santé, éliminer les "radicaux libres".
Henri Laborit était là aussi un grand précurseur.
Les mitochondries sont plus récentes que les
cellules eucaryotes car elles métabolisent l'oxygène alors
que les cellules à noyau ont à la base un fonctionnement anaérobique
et peu énergétiques. Les nouvelles bactéries procaryotes
en intégrant le milieu cellulaire eucaryote y trouvent la stabilisation
de leur environnement originel et fournissent aux anciennes bactéries
eucaryotes une source d'énergie bien supérieure, prélevée
sur l'oxygène auxquelles elles n'étaient pas primitivement
adaptées. L'existence de cellules à noyaux
précède
donc l'oxydation de l'atmosphère et, selon certains, il se pourrait
même que les bactéries sans noyau ne soient qu'une dégradation,
sous l'effet de chaleurs extrêmes par exemple, de cellules à
noyau. C'est une hypothèse contradictoire avec la
datation
des cellules à noyau il y a 1,8 milliards d'années.
En tout cas on assiste à un empilement de plusieurs niveaux en symbiose,
une division du travail antérieure à la formidable diversification
des formes du vivant, au point qu'on peut légitimement penser qu'il
ne s'agit plus vraiment du même phénomène mais d'une
autre dimension, d'un niveau supérieur de complexité atteint
grâce aux mitochondries par les eucaryotes (végétaux
et animaux), bien que la complexité du fonctionnement des bactéries
soit déjà exceptionnelle et sans commune mesure avec les équilibres
physiques ou thermodynamiques, ne se réduisant déjà
pas à une dynamique énergétique. D'ailleurs, il semble
bien que, la fonction énergétique ayant été fixée
dans des mitochondries très stables et isolées du reste du
patrimoine génétique, les capacités de mutations viables
en ont été complètement libérées. La
cellule a donc connu elle aussi le passage de l'ère énergétique
à la créativité de l'
ère informationnelle et l'exubérance des formes.

La régulation de l'énergie (NO)
Le nombre et le niveau d'activation des mitochondries
sont la source de l'énergie corporelle et de la régulation
thermique, constituant un système relativement autonome des cellules
qui les abritent, reflétant un état énergétique global
qui est donc régulé globalement par le système nerveux
(par l'intermédiaire des récepteurs adrénergiques béta3)
et plus localement par le niveau du monoxyde d'azote ou oxyde nitreux (NO).
Cette régulation extérieure de la production énergétique,
et donc l'indépendance des mitochondries, est sans doute indispensable
à la constitution d'organismes pluricellulaires. C'est le froid qui
stimule les récepteurs adrénergiques, et par leur intermédiaire,
la production de NO qui va multiplier le nombre de mitochondries (qui se
reproduisent en se divisant) tout en augmentant au début leur rendement,
ce qui va dégager de la chaleur en brûlant les acides gras pour
produire de l'ATP.
Le rôle du NO dans la régulation du nombre des mitochondries
et de leur rendement suggère qu'il devait avoir un rôle majeur
dans l'atmosphère d'origine des mitochondries et qu'il reproduit
cet environnement originel comme le cytoplasme de la cellule reproduit le
milieu marin initial. Ce qui compte, c'est bien de rester dans un certain
équilibre, une homéostasie. En effet, au-delà d'un certain
seuil, l'effet du NO s'inverse. Produit en excès au cours d'un état
inflammatoire chronique il asphyxie les tissus inflammés et les
détruit à la longue en bloquant la respiration des mitochondries
alors même qu'il continue à en multiplier le nombre. Il devrait
être possible de dater à peu près l'époque où
les mitochondries sont apparues si on pouvait évaluer précisément
les taux d'oxygène et de monoxyde d'azote entre 3,6 et 1,8 milliards
d'années, mais c'est encore hors de notre portée même
si les dates les plus anciennes semblent les plus probables.
Le rôle du
froid dans la production d'énergie
semble donner une base scientifique à la théorie des climats
de Montesquieu ainsi qu'à l'efficacité du sauna. Les hommes
du Nord ont effectivement plus d'énergie que ceux des climats tropicaux,
quand on a trop chaud on n'est plus bon à rien comme on l'a constaté
cet été caniculaire. Bien sûr un excès de froid
aussi peut être fatal s'il épuise nos réserves mais la
thermorégulation permise par les mitochondries est plutôt une
adaptation aux périodes froides. On peut en déduire aussi que
l'apport d'arginine, indispensable à la production du NO, est surtout
utile en hiver, tout comme les acides gras (de poisson), et l'été
quand la chaleur réduit le nombre de mitochondries, le glucose des
fruits pourrait être préférable (à vérifier tout de même).
En tout cas il ne suffit sûrement pas d'un peu de
l-carnitine
pour redonner de l'énergie à nos cellules comme la mode du
moment voudrait nous le faire croire sous prétexte que la l-carnitine
permet aux acides gras de pénétrer dans la cellule. Les panacées
éprouvées qui augmentent le NO sont sans doute préférables
ainsi que l'apport de vitamines, notamment la
vitamine C
qui a un rôle crucial d'antioxydant et favorise la production de carnitine.
La l-carnitine peut aider dans une approche plus globale mais les régulations
biologiques sont constituées de tout un ensemble d'équilibres
entre systèmes opposants qui maintiennent une homéostasie dans
une fourchette plus ou moins large et avec plus ou moins de redondance qui
lui assure une grande solidité de reproduction. Il est donc toujours
délicat de perturber durablement ces régulations vitales, sauf
en cas de déficit avéré. C'est ce qui fait le caractère
exceptionnel de la vie, dès la première cellule et qui distingue
l'organisme biologique des autres équilibres naturels, y compris des
écosystèmes qu'on ne peut mettre sur le même plan qu'un
corps vivant qui se maintient en vie, se nourrit et se reproduit.
Enfin, il semblerait qu'une
dégénérescence
des mitochondries se produise au-delà de 65 ans par altération
de leur ADN. Phénomène que la chaleur doit accélérer
puisqu'elle favorise les mutations (par le biais de la
protéine Hsp90)
mais on a découvert aussi des "Heat Shock Protein" (HSP) qui protègent
les mitochondries des radicaux libres en cas de chaleur ou de stress. A suivre donc.